はじめに
目白ヶ丘デンタルクリニックでは、MTM(メディカルトリートメントモデル)と呼ばれる流れに則り、初診時の検査やカウンセリングを非常に大切にしています。
MTMとは、患者さんの口腔内のリスク評価を行い、個人個人に合わせたオーダーメイドの予防プログラムを立案し、定期的なメインテナンスを行っていく流れのことです。
治療の効果を最大限発揮するとともに、患者さんがしっかりとご自身のお口の健康状態を把握していただくことが、今後の「歯を守る」ことに必要不可欠だと考えているからです。
また、治療の前後にも写真を撮影しますので「今日はどこを何されたのかわからない‥‥」ということがありません。
初診では45~60分ほど検査にお時間をいただいていますが、痛みがある場合や治療後に用事があって時間が限られている際は、まずは応急処置をいたします。
お気軽にスタッフまでお申し付けください。
初診の治療の流れ
初診の流れ【1回目】
1回目の治療費(3割負担の場合):約¥4,000程度+唾液検査:¥4,000(税込)
-
STEP01問診
まずは、困っている部位や症状について、じっくりとお話を伺います。
リラックスして何でもお話しください。 -
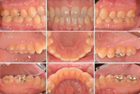
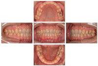
STEP02検査①【口腔内の写真撮影】
診療前の状況を視覚的に確認できるように、デジタルカメラで口の中の写真撮影を行います。
また、咬合学や矯正学の観点から口腔内だけではなく、顔の写真も撮影致します。これは、左右の筋肉の対称性や噛み合わせの高さの診断に使用します。 -
STEP03検査②【レントゲン撮影】
さらに的確な診断を行うためにレントゲンを撮影します。
デジタルレントゲン撮影はX線の被曝量が従来のレントゲンの1/4~1/10程度になりますのでより安心してレントゲン撮影をすることができます。 -
図は株式会社GCのパンフレットより抜粋 STEP04検査③【歯周病検査】
歯周病の検査を行います。
検査は、プローブと呼ばれる道具を用い、歯と歯肉の境目の溝(歯肉溝=歯周ポケット)の深さを計ります。
歯周ポケットの深さと出血の有無が歯周病の進行度の目安となるのです。
歯周病の治療をやりたいわけではなのに歯周病の検査が必要?と思う方がいらっしゃるかもしれませんが、歯肉の状態は治療を行う上で非常に重要視するべき問題です。
ブヨブヨの土台の上に、どういう治療を行っても効果や持続性がありません。
また、歯周病は自覚症状がないまま進行することが多く、検査で気づくということも多々あります。
歯周病検査についての詳細はこちらをご覧ください。
初診の流れ【2回目】
-

STEP01診断・説明
パソコンや資料などで、わかりやすく丁寧に今の状態と治療方針についてご説明します。気になることは何でもお気軽にご質問ください。
治療の説明は歯科医師が、歯周病の状態と唾液検査の結果については歯科衛生士がご説明します。 -
STEP02予防プログラムの立案・歯石除去のクリーニング・歯磨き指導
治療費(3割負担の場合):約¥2,500

予防プロブラムの立案
歯科衛生士が、患者さん一人ひとりに合わせたオーダーメイドの予防プログラムを立ててご説明いたします。全身疾患や食生活、生活環境を考慮し、科学的根拠に基づいた虫歯や歯周病の予防法をご提案いたします。

スケーリング(歯石除去)・PMTC
PMTCとはProfessional Mechanical Tooth Cleaning(歯科衛生士による専門的な器具を用いたクリーニング)のことで、歯科衛生士が歯の表面に付着した歯石やバイオフィルム(歯垢、プラーク)を除去する歯のクリーニングを行います。まずは治療の効果を最大限に引き出す環境づくりを行っていきます。

TBI
Tooth blushing instruction(ハミガキ指導)
その後、ご自宅での効率の良い歯磨きの仕方について説明します。
治療が終了してからも、ちゃんとした歯磨きを行わないと再び口内環境は一気に悪くなります。
そうならないために、ご自宅でもしっかりと歯磨きを行うようにしましょう。
クリーニングについての詳細はこちらをご覧ください。
初診の流れ【3回目】
-

治療開始
歯肉の炎症が治まったら治療開始となります。
しっかりとした予後のよい治療をするためには、歯肉が健康的に引き締まっていることが重要です。
ただし、急性症状(痛みがある時)や前歯の詰め物が取れて見た目が悪くなってしまった等の急を要する場合は、1回目に応急処置を行います。



