1st


1回目
ドクターと衛生士による検査
- 口腔内、顔面写真撮影
- レントゲン撮影
- 歯周病検査
- 唾液検査
- 今後の流れの説明
- 痛い部分の応急処置


髪は切ったら生えてきますが、歯はそういうわけにはいきません。
では、どうしたら歯を長持ちさせることができるのでしょうか?
治療をしたからといって、今までと同じような生活を送っているとまたすぐに虫歯になってしまうでしょう。
ご自身の歯を残すために大切なことは、歯医者さんでしっかりとした予防を行い、お口のトラブルを未然回避していくことだと考えます。
歯医者さんはよい状態を保つために行くことで、あらゆるリスクを回避できます。
子供のうちから、予防の習慣をつけることが、健康なお口への近道です。
口腔疾患を予防し、健康な歯と口腔環境を維持するためには、予防歯科が欠かせません。
定期的な歯科検診とクリーニングを受け、適切な口腔ケアを日々実践することで、歯を失うリスクを大幅に減らしていきましょう。
First
治療に入る前に、患者さんのお口の中の状態がどうなっているかを正確に知ること、症状のことや治療のこと、再発防止のために何をしないといけないのか、などをしっかりとご説明する必要があると当院では考えております。
より効果的な治療を行うこと、今後よい口内環境を維持していくために初診では下記の流れを行います。
※腫れや痛みがある場合には、初診時に応急処置を行います。
1st


1回目
2nd


2回目
3rd

3回目
Information
当院は2名の医師で診療しており、担当医によって診療の時間が異なります。予約優先ですが、初診・急患の方も随時拝見いたします。痛みがある時は応急処置をいたします。遠慮なくご連絡ください。
また、歯科医師は2名とも日本矯正歯科学会の認定医です。歯並び、噛み合わせ、歯ぎしりが原因の肩こりや頭痛についても専門的に丁寧な診療と説明をさせていただきます。
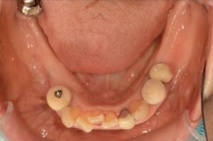
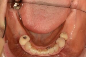
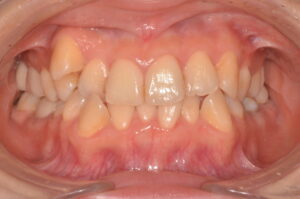
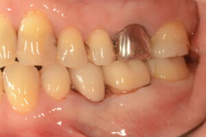
Case

Before

After
| 主訴 | 歯並びを治したい |
|---|---|
| 診断名 | 叢生(混雑した歯並び) |
| 年齢・性別 | 82歳、女性 |
| 治療期間・回数 | 4ヶ月間、来院回数4回 |
| 治療方法 | 歯と歯の間に0.5mmのやすりがけをして歯の横幅を修正し、マルチブラケット装置(ワイヤー矯正器具)にて歯を配列 |
| 費用 | 検査料 55,000円 基本矯正料 220,000円 処置料 5,500円 / 月 |
| デメリット・注意点 | 唇に装置が当たって口内炎になる可能性 歯根吸収の可能性 調整のたびに2〜3日程度、上下の歯が接すると痛みが生じる |

スタッフブログ @mejirogaokadental