当院は極力、歯を残せるような
歯周病治療を心がけています
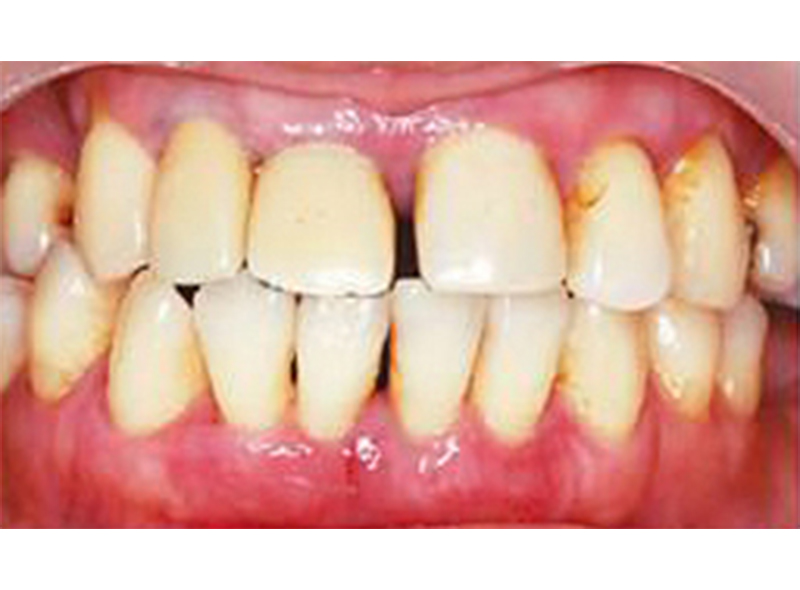
歯周病とは、みがき残しなどの食べかすから細菌が繁殖し、歯を支えている骨をとかしてしまう病気をいいます。
歯周病をそのままにしていると、歯がぐらぐらと動くようになり、最終的には抜けてしまいます。
日本人の80パーセントが歯周病と言われており、世界で一番多い感染症としてギネスブックにも載っています。
さらに恐ろしいところに、歯周病は痛みなどの自覚症状がほとんどなく進行する“静かなる病気(Silent Disease)”という点です。そのため、気づいた時にはもう歯を抜くしかない、という状態になってしまうことがあります。
歯周病の検査
歯周ポケットのチェック
まず、プローブと呼ばれる道具を用い、歯と歯肉の境目の溝(歯肉溝=歯周ポケット)の深さを計ります。歯周ポケットの深さと出血の有無が歯周病の進行度の目安となります。
歯周病の進行度を明示
歯周ポケットの深さ、出欠の有無をチャートに書き出し、歯1本単位で歯周病の進行度を明示します。歯周ポケットの深さが2〜3ミリで出血がない状態が正常な歯肉の目安です。
歯周病の進行
-
Flow01歯肉炎~軽度歯周炎
歯と歯ぐきの間にプラークがたまって歯ぐきが腫れ、出血しやすくなっています。歯を支える骨にはまだあまり影響がありません。
-
Flow02中等度歯周炎
歯周ポケットが形成され、歯石が深部まで付着し歯を支える骨を半分くらい失っています。
-
Flow03重度歯周炎
歯を支える骨がなくなってきて歯がぐらつき、このまま放っておくと歯が抜けてしまいます。
歯ぐきが下がる、膿が出るなどの症状もみられます。
歯周病を予防するには
歯周ポケットのチェック
病気になる前に予防する「予防歯科」が重要になってきます。
歯周病が進行しないようにするには毎日ご自身でしていただく“セルフケア”と、歯科医師や歯科衛生士による“プロフィッショナルケア”の両立が必要です。
歯周病の進行
- 初期検査
- 再検査



