矯正治療
82歳の矯正治療

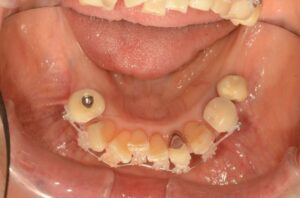
Before

After
| 主訴 | 歯並びを治したい |
|---|---|
| 診断名 | 叢生(混雑した歯並び) |
| 年齢・性別 | 82歳、女性 |
| 治療期間・回数 | 4ヶ月間、来院回数4回 |
| 治療方法 | 歯と歯の間に0.5mmのやすりがけをして歯の横幅を修正し、マルチブラケット装置(ワイヤー矯正器具)にて歯を配列 |
| 費用 | 検査料 55,000円 基本矯正料 220,000円 処置料 5,500円 / 月 |
| デメリット・注意点 | 唇に装置が当たって口内炎になる可能性 歯根吸収の可能性 調整のたびに2〜3日程度、上下の歯が接すると痛みが生じる |
治療詳細
-

82歳からの矯正治療
叢生(歯並びのガタつき)が気になるとのことで、矯正治療をスタートしました。
矯正は「若い人がやるもの」と思われがちですが、歯と歯ぐきが健康であれば年齢制限はありません!
高齢の方でも矯正治療を行うことで以下のメリットがあります
• 歯みがきがしやすくなり清潔度UP
• 噛み合わせがよくなって消化吸収も良好に
• 今後の治療(補綴など)がスムーズになる
• 表情まで明るくなって素敵なスマイルに✨
「70年来の悩みが解決した」と喜んでいらっしゃいました!
「もう歳だから…」は関係ないです!
笑顔は、いくつになってもアップデートできます😊
ご相談はお気軽に☎️
目白駅より徒歩4分の歯医者さん
目白ヶ丘デンタルクリニック・矯正歯科 -

