矯正治療
30歳の矯正治療

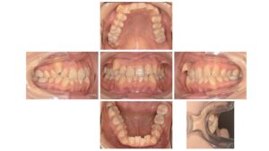
Before

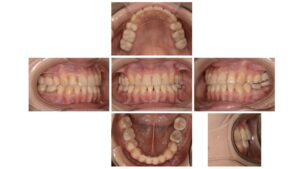
After
| 主訴 | 歯並びを治したい |
|---|---|
| 診断名 | 叢生(混雑した歯並び) |
| 年齢・性別 | 30歳 女性 |
| 治療期間・回数 | 24ヶ月、20回 |
| 治療方法 | 上下顎左右第一小臼歯を抜歯し、マルチブラケット装置 |
| 費用 | 検査料 55,000円 基本矯正料 990,000円 処置料 5,500円 / 月 |
| デメリット・注意点 | 唇に装置が当たって口内炎になる可能性 歯根吸収の可能性 調整のたびに2〜3日程度、上下の歯が接すると痛みが生じる |
| 備考 | 歯列が小さく、骨格内に歯を並べていくために上下左右の小臼歯を抜歯して治療を行なっています。 噛み合わせと歯並びが改善したことで、快適な食生活を送ることができたと喜んでいただいています。 歯を抜いた方がよいのか、抜かなくても改善できるのかは、患者さんの骨格や歯の大きさによりますので、個人差が大きいです。 矯正相談は初回は無料でうかがいますので、お気軽にご連絡ください☎️ 目白駅より徒歩4分の歯医者さん 目白ヶ丘デンタルクリニック・矯正歯科 |



