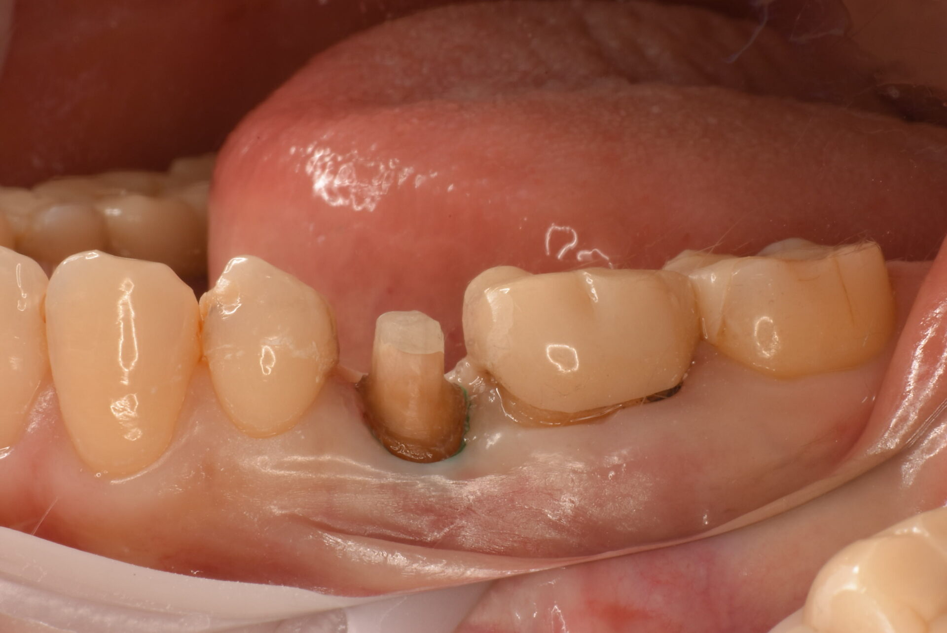
折れた歯を牽引した症例

Before

After
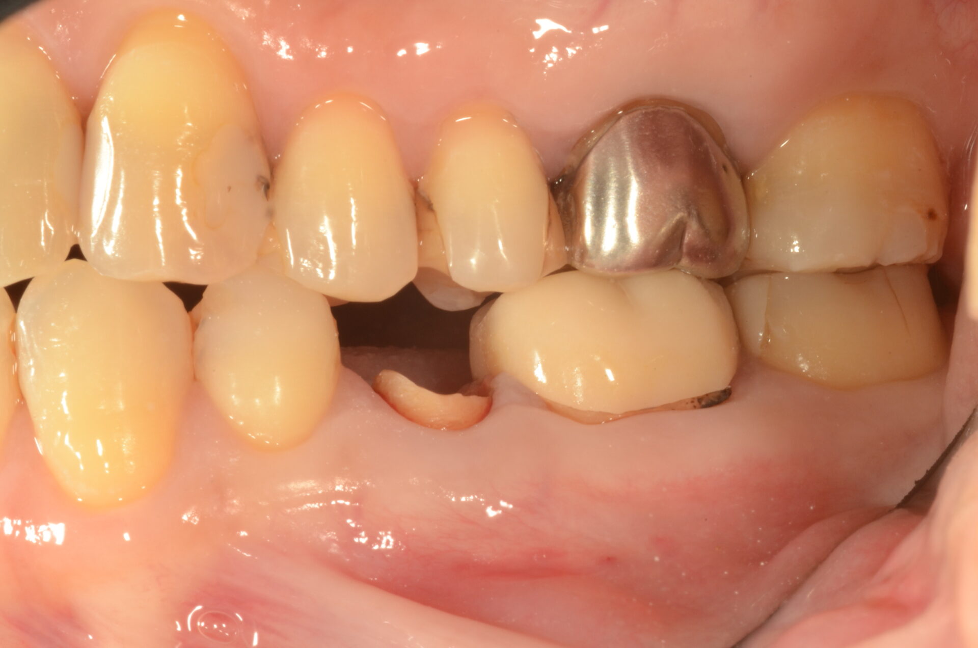
抜歯を診断されるくらいの歯を残して被せ物をした症例
初診時
牽引開始
牽引レントゲン
牽引終了
支台歯形成
クラウンセット
主訴
歯が折れた
診断名
歯頸部での歯冠水平破折
年齢・性別
40代・女性
治療期間
3ヶ月(6回)
治療方法
矯正治療で根を牽引(エクストルージョン)し、歯の高さを確保した上で被せ物を行いました。
費用
矯正治療50,000円
臨床歯冠長延長術50,000円
ジルコニアクラウン176,000円
合計:276,000円(税込)
注意点
・外科手術が必要です。
・神経をとった歯は健康な歯に比べ折れやすくなります。
・通常の被せ物治療に比べ、治療期間がかかります。
・神経をとった歯は健康な歯に比べ折れやすくなります。
・通常の被せ物治療に比べ、治療期間がかかります。
備考
本症例は自由診療となります。治療結果には個人差があります。

